Dirofilariasis

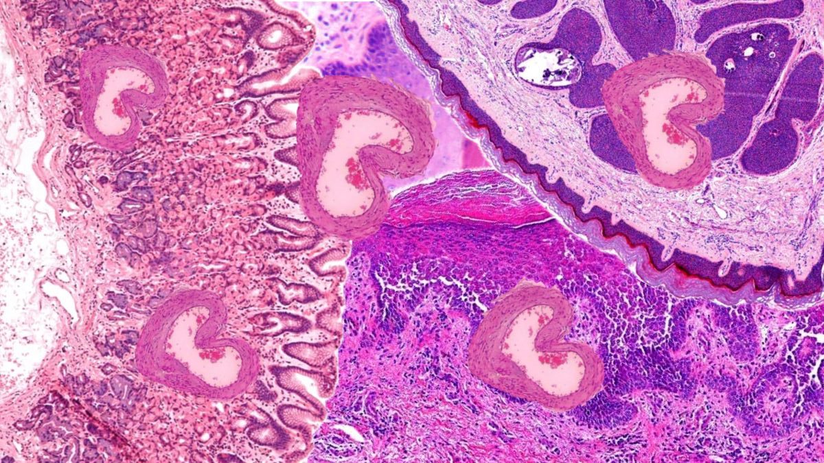
Clinical backgroundEtiology: Human dirofilariasis is caused by Dirofilaria repens (subcutaneous/ocular) and Dirofilaria immitis (pulmonary). Humans are accidental, dead-end hosts. Transmission: Mosquito-borne from infected dogs or wild carnivores. Presentation: 1. D. repens: Subcutaneous or ocular nodules, often painless. 2. D. immitis: Pulmonary “coin lesions,” usually asymptomatic.Lab findings: Peripheral eosinophilia is inconsistent. Serology is unreliable. Imaging may…

Keep reading

Demystifying Histopathology Techniques: A Step-by-Step Guide for Postgraduates

Histopathology is the cornerstone of diagnostic pathology, offering microscopic insight into disease processes. For postgraduate students stepping into this intricate world, mastering the foundational techniques is essential—not just for exams, but for clinical relevance and research applications. This post walks through the essential steps of tissue processing, embedding, sectioning, and staining, with practical tips and…

Keep reading

Coloring the Canvas: Essential Stains for Pathology (Part 2)

PAS : Periodic Acid-Schiff (PAS) stain This is used to stain polysaccharides such as glycogen, mucosubstances like glycoproteins, glycolipids, and mucins in tissues.Here are a few examples of conditions where this stain is utilized: ALICIAN BLUE : This stain is used to stain acidic polysaccharides such as glycosaminoglycans in cartilages and other body structures, as…

Keep reading

Something went wrong. Please refresh the page and/or try again.